症例集
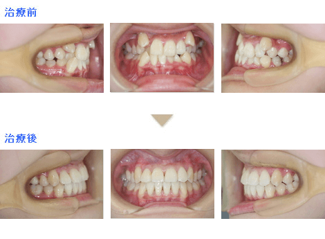
10代 女性

- 主訴:歯並びが悪い 初診時年齢:12歳5ヶ月
- 診断名:骨格型Ⅰ級 臼歯関係Ⅱ級 叢生
上下顎歯列をポータータイプの拡大装置で拡大後、上下顎両側第一小臼歯および下顎右側第一小臼歯と下顎第二小臼歯欠損のため下顎左側第二乳臼歯を抜去して、マルチブラケット装置による治療をしました。
- 治療期間:拡大装置 12ヶ月 マルチブラケット装置 51ヶ月
- 費用目安:100万円(検査診断料・処置料・審美ブラケット料金含、消費税別)
副作用・リスク:歯科矯正治療では、歯根吸収を起こす可能性があります。口腔清掃が不十分な場合は、う蝕や歯肉炎が生じる場合があります。
10代 女性

- 主訴:乱杭歯 初診時年齢:19歳11ヶ月
- 診断名:骨格型Ⅲ級傾向 臼歯関係Ⅰ級 叢生
上下顎歯列をポータータイプの拡大装置で拡大後、下顎に舌側弧線装置で加強固定を施し、上下顎両側第一小臼歯および下顎右側第一小臼歯と歯の状態が良くなかったため下顎左側第二小臼歯を抜去して、マルチブラケット装置による治療をしました。
- 治療期間:拡大装置 5ヶ月 マルチブラケット治療 36ヶ月
- 費用目安:86万円(検査診断料・処置料、消費税別)
副作用・リスク:歯科矯正治療では、歯根吸収を起こす可能性があります。口腔清掃が不十分な場合は、う蝕や歯肉炎が生じる場合があります。
10代 男性

- 主訴:出歯 初診時年齢:15歳4ヶ月
- 診断名:骨格型Ⅱ級 臼歯関係Ⅱ級 顎関節症を伴う上顎前突
上下顎歯列をポータータイプの拡大装置で拡大後、上顎左側第二大臼歯抜去し固定式装置とヘッドギアによる上顎両側大臼歯の後方移動を行い、上顎にホールディングアーチを装着し、上顎両側第一小臼歯および下顎両側第二小臼歯を抜歯して、マルチブラケット装置による治療をしました。
- 治療期間:拡大治療7ヶ月 上顎大臼歯後方移動 6カ月 マルチブラケット治療 37ヶ月
- 費用目安:93万円(検査診断料・処置料、消費税別)
副作用・リスク:歯科矯正治療では、歯根吸収を起こす可能性があります。口腔清掃が不十分な場合は、う蝕や歯肉炎が生じる場合があります。
10代 男性

主訴:出歯 初診時年齢:17歳4ヶ月
診断名:左側唇顎口蓋裂 骨格型II級 臼歯関係Ⅱ級 上顎前突
上顎歯列にポータータイプ拡大装置による拡大後に、上顎両側第一小臼歯を抜歯して、マルチブラケット装置による治療をしました。
治療期間:拡大治療1ヶ月 マルチブラケット治療 27ヶ月
費用目安:保険診療
副作用・リスク:歯科矯正治療では、歯根吸収を起こす可能性もあります。口腔清掃が不十分な場合は、う蝕や歯肉炎が生じる場合があります。
10代 女性

主訴:出歯 初診時年齢:9歳10ヶ月
診断名:骨格型I級 臼歯関係II級 上顎前突
筋機能装置およびヘッドギアによる成長コントロール後、ポータータイプ拡大装置を上下顎に装着して上下顎歯列の拡大をしました。その後にマルチブラケット装置による治療をしました。非抜歯症例です。
治療期間:筋機能装置7ヶ月 ヘッドギア4ヶ月 拡大治療5ヶ月 マルチブラケット治療22ヶ月
費用目安:902,000円(検査診断料・処置料・審美ブラケット料金含、消費税込)
副作用・リスク:歯科矯正治療では、歯根吸収を起こす可能性があります。口腔清掃が不十分な場合は、う蝕や歯肉炎が生じる場合があります。
10代 女性

主訴:歯並びが悪い 初診時年齢:16歳1ヶ月
診断名:骨格型I級 臼歯関係I級 叢生
上顎歯列にホールディングアーチを装着し、上下顎両側第一小臼歯を抜歯して、マルチブラケット装置による治療をしました。
治療期間:マルチブラケット装置 23ヶ月
費用目安:891,000円(検査診断料・処置料・審美ブラケット料金含、消費税込)
副作用・リスク:歯科矯正治療では、歯根吸収を起こす可能性があります。口腔清掃が不十分な場合は、う蝕や歯肉炎が生じる場合があります。
10代 男性

主訴:出歯 初診時年齢:17歳4ヶ月
診断名:骨格型II級 臼歯関係II級 上顎前突
上顎歯列にホールディングアーチを装着して第一大臼歯の捻転の改善し、上顎両側第一小臼歯を抜歯して、マルチブラケット装置による治療をしました。
治療期間:マルチブラケット治療 24ヶ月
費用目安:891,000円(検査診断料・処置料・審美ブラケット料金含、消費税込)
副作用・リスク:歯科矯正治療では、歯根吸収を起こす可能性があります。口腔清掃が不十分な場合は、う蝕や歯肉炎が生じる場合があります。
10代 男性

主訴:歯並びが悪い 初診時年齢:9歳8ヶ月
診断名:骨格型II級 臼歯関係II級 上顎前突
ヘッドギアによる上顎の成長抑制の後に、マルチブラケット装置による治療をしました。非抜歯症例です。
治療期間:ヘッドギア 16ヶ月 マルチブラケット治療 24ヶ月
費用目安:880,000円(検査診断料・処置料、消費税込)
副作用・リスク:歯科矯正治療では、歯根吸収を起こす可能性があります。口腔清掃が不十分な場合は、う蝕や歯肉炎が生じる場合があります。
小学生 女性

主訴:受け口 初診時年齢:7歳3ヶ月
診断名:骨格型III級 臼歯関係I級 反対咬合
上顎に舌側弧線装置を装着して上顎前歯の唇側移動し、上顎の装置をホールディングアーチに交換してフェイシャルマスクによる上顎前方牽引をしました。
治療期間:舌側弧線装置5ヶ月 上顎前方牽引6ヶ月
費用目安:319,000円(検査診断料・処置料・審美ブラケット料金含、消費税込)
副作用・リスク:歯科矯正治療では、歯根吸収を起こす可能性があります。口腔清掃が不十分な場合は、う蝕や歯肉炎が生じる場合があります。
10代 女性

主訴:ねじれた歯がある 初診時年齢:15歳3ヶ月
診断名:骨格型I級 臼歯関係I級 叢生
マルチブラケットの治療前に捻転していた上顎第二小臼歯の改善をパラタルアーチを装着しヘッドギアで加強固定して、セクショナルアーチとリングレットで改善しました。マルチブラケット装置の治療は非抜歯です。
治療期間:セクショナルアーチ(部分ワイヤー)11ヶ月 マルチブラケット治療16ヶ月
費用目安:847,000円(検査診断料・処置料・上顎前歯審美ブラケット料金含、消費税込)
副作用・リスク:歯科矯正治療では、歯根吸収を起こす可能性があります。口腔清掃が不十分な場合は、う蝕や歯肉炎が生じる場合があります。
20代 男性

主訴:咬みにくい 初診時年齢:20歳1ヶ月
診断名:骨格型I級 臼歯関係II級 叢生
ポータータイプの拡大装置で上顎歯列を拡大した後に、ペンデュラム(固定式大臼歯移動装置)とヘッドギアを用いて臼歯関係の改善をしました。マルチブラケット治療では、ホールディングアーチを装着しました。
治療期間:拡大治療10ヶ月 上顎大臼歯遠心移動11ヶ月 マルチブラケット治療22ヶ月
費用目安:957,000円(検査診断料・処置料・審美ブラケット料金含、消費税込)
副作用・リスク:歯科矯正治療では、歯根吸収を起こす可能性があります。口腔清掃が不十分な場合は、う蝕や歯肉炎が生じる場合があります。
10代 女性

主訴:乱杭歯 初診時年齢:11歳10ヶ月
診断名:骨格型II級 臼歯関係II級 叢生
上下顎両側第一小臼歯を抜歯していただいてマルチブラケット治療を行いました。来院間隔が長いため予定より治療期間が長くかかりました。
治療期間:マルチブラケット治療51ヶ月
費用目安:902,000円(検査診断料・処置料・審美ブラケット料金含、消費税込)
副作用・リスク:歯科矯正治療では、歯根吸収を起こす可能性があります。口腔清掃が不十分な場合は、う蝕や歯肉炎が生じる場合があります。
10代 女性

主訴:出歯 初診時年齢:13歳3ヶ月
診断名:骨格型II級 臼歯関係II級 叢生
GMD(固定式大臼歯移動装置)とヘッドギアを用いて臼歯関係の改善をしました。マルチブラケット治療では、上下顎両側第一小臼歯を抜歯してホールディングアーチを 装着しました。
治療期間:上顎大臼歯遠心移動8ヶ月 マルチブラケット治療37ヶ月
費用目安:902,000円(検査診断料・処置料・審美ブラケット料金含、家族割引有、消費税込)
副作用・リスク:歯科矯正治療では、歯根吸収を起こす可能性があります。口腔清掃が不十分な場合は、う蝕や歯肉炎が生じる場合があります。
10代 女性

主訴:出歯 初診時年齢:15歳5ヶ月
診断名:骨格型II級 臼歯関係II級 上顎前突
上下歯列をポータータイプの拡大装置で拡大した後に、GMD(固定式大臼歯移動装置)とヘッドギアを用いて臼歯関係の改善をしました。マルチブラケット治療では、ホールディングアーチを装着して非抜歯で治療しました。
治療期間:拡大治療5ヶ月 大臼歯遠心移動9ヶ月 マルチブラケット治療24ヶ月
費用目安:924,000円(検査診断料・処置料・審美ブラケット料金含、消費税込)
副作用・リスク:歯科矯正治療では、歯根吸収を起こす可能性があります。口腔清掃が不十分な場合は、う蝕や歯肉炎が生じる場合があります。
10代 女性

主訴:かみ合わせが悪い 初診時年齢:10歳6ヶ月
診断名:骨格型II級 臼歯関係II級 上顎前突
上顎両側第一小臼歯と下顎両側第二小臼歯を抜歯してマルチブラケット治療をしました。来院間隔が長いため予定より治療期間が長くかかりました。
治療期間:マルチブラケット治療24ヶ月
費用目安:825,000円(検査診断料・処置料、消費税込)
副作用・リスク:歯科矯正治療では、歯根吸収を起こす可能性があります。口腔清掃が不十分な場合は、う蝕や歯肉炎が生じる場合があります。
10代 女性

主訴:出歯 初診時年齢:15歳5ヶ月
診断名:骨格型I級 臼歯関係I級 下顎両側側切歯欠損を伴う上顎前突
上顎両側第一小臼歯を抜歯して治療をしました。マルチブラケット治療ではホール ディングアーチを装着しました。
治療期間:マルチブラケット治療25ヶ月
費用目安:880,000円(検査診断料・処置料・審美ブラケット料金含、消費税込)
副作用・リスク:歯科矯正治療では、歯根吸収を起こす可能性があります。口腔清掃が不十分な場合は、う蝕や歯肉炎が生じる場合があります。
小学生 男性

主訴:受け口 初診時年齢:8歳7ヶ月
診断名:骨格型III級 臼歯関係I級 反対咬合
上顎に舌側弧線装置を装着して治療をしました。非抜歯治療です。
治療期間:舌側弧線装置治療4ヶ月
費用目安:264,000円(検査診断料・処置料含、消費税込)
副作用・リスク:歯科矯正治療では、歯根吸収を起こす可能性があります。口腔清掃が不十分な場合は、う蝕や歯肉炎が生じる場合があります。
20代 女性

主訴:前歯が内側に生えている 初診時年齢:28歳11ヶ月
診断名:骨格型II級 臼歯関係I級 叢生
マルチブラケット治療では、上下顎両側第一小臼歯を抜歯してホールディングアーチを装着しました。
治療期間:マルチブラケット治療25ヶ月
費用目安:891,000円(検査診断料・処置料・審美ブラケット料金含、消費税込)
副作用・リスク:歯科矯正治療では、歯根吸収を起こす可能性があります。口腔清掃が不十分な場合は、う蝕や歯周炎が生じる場合があります。
10代 男性

主訴:乱杭歯 初診時年齢:15歳2ヶ月
診断名:骨格型I級 臼歯関係I級 叢生
マルチブラケット治療では、上下顎両側第一小臼歯を抜歯してホールディングアーチを装着しました。
治療期間:マルチブラケット治療23ヶ月
費用目安:836,000円(検査診断料・処置料・審美ブラケット料金・家族割引含、消費税込)
副作用・リスク:歯科矯正治療では、歯根吸収を起こす可能性があります。口腔清掃が不十分な場合は、う蝕や歯肉炎が生じる場合があります。
30代 女性

主訴:乱杭歯 初診時年齢:29歳7ヶ月
診断名:骨格型I級 臼歯関係I級 叢生
上下顎歯列をポータータイプの拡大装置で拡大後に、上下顎両側第一小臼歯を抜歯してマルチブラケット装置による治療をしました。
治療期間:拡大治療3ヶ月 マルチブラケット治療27ヶ月
費用目安:869,000円(検査診断料・処置料含、消費税込)
副作用・リスク:歯科矯正治療では、歯根吸収を起こす可能性があります。口腔清掃が不十分な場合は、う蝕や歯周炎が生じる場合があります。
10代 女性

主訴:乱杭歯 初診時年齢:8歳5ヶ月
診断名:骨格型I級 臼歯関係I級 交叉咬合
I期治療として、舌側弧線装置を装着して前歯被蓋関係の改善をした後に上下顎歯列をポータータイプの拡大装置で拡大し、ユーティリティアーチ(部分ワイヤー治療)をしました。II期治療では、上下歯列をポータータイプの拡大装置で再拡大後に、非抜歯でマルチブラケット装置による治療をしました。
治療期間:I期治療16ヶ月 2期治療25ヶ月
費用目安:979,000円(検査診断料・処置料含、消費税込)
副作用・リスク:歯科矯正治療では、歯根吸収を起こす可能性があります。口腔清掃が不十分な場合は、う蝕や歯肉炎が生じる場合があります。
20代 女性

主訴:かみ合わせが悪い 初診時年齢:23歳0ヶ月
診断名:骨格型III級 臼歯関係I級 叢生
上下歯列をポータータイプの拡大装置で拡大後に、上下顎両側第一小臼歯を抜歯してマルチブラケット装置による治療をしました。
治療期間:拡大治療3ヶ月 マルチブラケット治療28ヶ月
費用目安:858,000円(検査診断料・処置料・審美ブラケット料金・家族割引含、消費税込)
副作用・リスク:歯科矯正治療では、歯根吸収を起こす可能性があります。口腔清掃が不十分な場合は、う蝕や歯周炎が生じる場合があります。
40代 男性

主訴:すき歯 初診時年齢:39歳7ヶ月
診断名:骨格型I級 臼歯関係I級 空隙歯列
上顎歯列をポータータイプの拡大装置で拡大後に、非抜歯でマルチブラケット装置による治療をしました。
治療期間:拡大治療3ヶ月 マルチブラケット治療19ヶ月
費用目安:825,000円(検査診断料・処置料含、消費税込)
副作用・リスク:歯科矯正治療では、歯根吸収を起こす可能性があります。口腔清掃が不十分な場合は、う蝕や歯周炎が生じる場合があります。空隙歯列は後戻りが生じることもあります。
10代 女性

主訴:乱杭歯 初診時年齢:16歳11ヶ月
診断名:骨格型I級 臼歯関係I級 叢生
上顎歯列をポータータイプの拡大装置で拡大後に、上下顎両側第一小臼歯を抜歯してマルチブラケット装置による治療をしました。
治療期間:拡大治療4ヶ月 マルチブラケット治療31ヶ月
費用目安:957,000円(検査診断料・処置料・審美ブラケット料金含、消費税込)
副作用・リスク:歯科矯正治療では、歯根吸収を起こす可能性があります。口腔清掃が不十分な場合は、う蝕や歯肉炎が生じる場合があります。
小学生 男性

主訴:かみ合わせが悪い 初診時年齢:7歳6ヶ月
診断名:骨格型I級 臼歯関係I級 叢生
舌側弧線装置を装着して交叉咬合の改善をしました。
治療期間:舌側弧線装置治療 4ヶ月
費用目安:264,000円(検査診断料・処置料含、消費税込)
副作用・リスク:歯科矯正治療では、歯根吸収を起こす可能性があります。口腔清掃が不十分な場合は、う蝕や歯肉炎が生じる場合があります。
10代 男性

主訴:歯並びが悪い 初診時年齢:15歳11ヶ月
診断名:骨格型II級 臼歯関係II級(左側)上顎前突
上顎にホールディングアーチを装着して、上顎両側第一小臼歯と下顎右側第一小臼歯を抜歯してマルチブラケット装置による治療をしました。上顎前歯後方移動時にはヘッドギアを装着しました。
治療期間:拡大治療4ヶ月 マルチブラケット治療17ヶ月
費用目安:814,000円(検査診断料・処置料含、消費税込)
副作用・リスク:歯科矯正治療では、歯根吸収を起こす可能性があります。口腔清掃が不十分な場合は、う蝕や歯肉炎が生じる場合があります。
10代 女性

主訴:歯並びが悪い 初診時年齢:9歳2ヶ月
診断名:骨格型I級 臼歯関係I級 翼状捻転
混合歯列期に下顎に舌側弧線装置を装着して保隙をしました。永久歯列期に上下顎歯列をポータータイプの拡大装置で拡大し、非抜歯でマルチブラケット装置による治療をしました。
治療期間:保隙13ヶ月 拡大治療4ヶ月 マルチブラケット治療22ヶ月
費用目安:902,000円(検査診断料・処置料・審美ブラケット料金含、消費税込)
副作用・リスク:歯科矯正治療では、歯根吸収を起こす可能性があります。口腔清掃が不十分な場合は、う蝕や歯肉炎が生じる場合があります。
30代 女性

主訴:歯並びが悪い 初診時年齢:31歳0ヶ月
診断名:骨格型I級 臼歯関係左側II級右側I級 上顎左側第二小臼歯欠損を伴う叢生
上顎歯列をポータータイプの拡大装置で拡大後に、マルチブラケット治療をしました。マルチブラケット治療では、ホールディングアーチを装着し追加の抜歯はしませんでした。上顎前歯の後方移動にはヘッドギアを装着しました。マルチブラケット治療中にご結婚され、結婚式前後は一部ブラケットを外しました。
治療期間:拡大治療2ヶ月 マルチブラケット治療24ヶ月
費用目安:946,000円(検査診断料・処置料・審美ブラケット料金含、消費税込)
副作用・リスク:歯科矯正治療では、歯根吸収を起こす可能性があります。口腔清掃が不十分な場合は、う蝕や歯周炎が生じる場合があります。
10代 女性

主訴:受け口 初診時年齢:10歳11ヶ月
診断名:骨格型III級 臼歯関係III級 反対咬合
上顎歯列をポータータイプの拡大装置で拡大後に、非抜歯でマルチブラケット装置による治療をしました。
治療期間:拡大治療3ヶ月 マルチブラケット治療35ヶ月
費用目安:880,000円(検査診断料・処置料・審美ブラケット料金含、消費税込)
副作用・リスク:歯科矯正治療では、歯根吸収を起こす可能性があります。口腔清掃が不十分な場合は、う蝕や歯肉炎が生じる場合があります。
50代 男性

主訴:出歯 初診時年齢:57歳9ヶ月
診断名:骨格型II級 臼歯関係II級 上顎前突
上顎歯列をポータータイプの拡大装置で拡大後に、上下顎両側第一小臼歯を抜歯してマルチブラケット装置による治療をしました。加強固定としてヘッドギアを装着しました。
治療期間:拡大治療8ヶ月 マルチブラケット治療33ヶ月
費用目安:946,000円(検査診断料・処置料・含、消費税込)
副作用・リスク:歯科矯正治療では、歯根吸収を起こす可能性があります。口腔清掃が不十分な場合は、う蝕や歯周炎が生じる場合があります。
10代 女性

主訴:出歯 初診時年齢:9歳9ヶ月
診断名:骨格型II級 臼歯関係II級 上顎前突
上顎にヘッドギアを装着して上顎の成長抑制と臼歯関係の改善をし、下顎には舌側弧線装置を装着して保隙をしました。非抜歯でマルチブラケット装置による治療をしました。
治療期間:ヘッドギア7ヶ月 マルチブラケット治療18ヶ月
費用目安:847,000円(検査診断料・処置料含、消費税込)
副作用・リスク:歯科矯正治療では、歯根吸収を起こす可能性があります。口腔清掃が不十分な場合は、う蝕や歯肉炎が生じる場合があります。
10代 女性

主訴:出歯 初診時年齢:16歳3ヶ月
診断名:骨格型II級 臼歯関係I級 叢生
マルチブラケット装置の治療では上顎にホールディングアーチを装着し、上下顎両側第一小臼歯を抜歯しました。
治療期間:マルチブラケット治療24ヶ月
費用目安:913,000円(検査診断料・処置料・審美ブラケット料金含、消費税込)
副作用・リスク:歯科矯正治療では、歯根吸収を起こす可能性があります。口腔清掃が不十分な場合は、う蝕や歯肉炎が生じる場合があります。
10代 男性

主訴:上顎両側第二小臼歯の出る場所が足りない 初診時年齢:7歳5ヶ月
診断名:骨格型II級 臼歯関係II級 叢生
ホールディングアーチによる保隙の後に、ヘッドギアを装着して上顎前方成長の抑制と臼歯関係の改善をしました。マルチブラケット装置の治療では、上下顎両側第一小臼歯を抜歯しました。
治療期間:保隙26ヶ月 ヘッドギア12ヶ月 マルチブラケット治療26ヶ月
費用目安:880,000円(検査診断料・処置料・審美ブラケット料金含、消費税込)
副作用・リスク:歯科矯正治療では、歯根吸収を起こす可能性があります。口腔清掃が不十分な場合は、う蝕や歯肉炎が生じる場合があります。
10代 男性

主訴:かみ合わせが悪い 初診時年齢:17歳8ヶ月
診断名:骨格型III級 臼歯関係III級 切端咬合
上顎歯列をポータータイプの拡大装置で拡大後に、非抜歯でマルチブラケット装置による治療をしました。
治療期間:拡大治療2ヶ月 マルチブラケット治療15ヶ月
費用目安:847,000円(検査診断料・処置料・審美ブラケット料金含、消費税込)
副作用・リスク:歯科矯正治療では、歯根吸収を起こす可能性があります。口腔清掃が不十分な場合は、う蝕や歯肉炎が生じる場合があります。
10代 女性

主訴:かみ合わせが悪い 初診時年齢:13歳4ヶ月
診断名:骨格型I級 臼歯関係III級 側方歯鋏状咬合
下顎歯列をポータータイプの拡大装置して拡大し、上顎側方歯にはブラケットを装着して交叉ゴムを装着して鋏上咬合の改善をしました。、マルチブラケット治療は非抜歯で治療をしました。
治療期間:拡大および交叉ゴム9ヶ月 マルチブラケット治療6ヶ月
費用目安:759,000円(検査診断料・処置料・審美ブラケット料金・家族割引含、消費税込)
副作用・リスク:歯科矯正治療では、歯根吸収を起こす可能性があります。口腔清掃が不十分な場合は、う蝕や歯肉炎が生じる場合があります。
20代 男性

主訴:歯並びが悪い 初診時年齢:19歳8ヶ月
診断名:骨格型II級 臼歯関係II級 上顎前突
上顎歯列を急速拡大装置で拡大後、上顎両側第二大臼歯を抜歯してGMD(固定式大臼歯遠心移動装置)とヘッドギアを装着して臼歯関係の改善をしました。マルチブラケット装置の治療では、ホールディングアーチを加強固定として装着し上下顎両側第一小臼歯を抜歯して治療しました。
治療期間:拡大治療3ヶ月 大臼歯遠心移動7ヶ月 マルチブラケット治療28ヶ月
費用目安:979,000円(検査診断料・処置料含、消費税込)
副作用・リスク:歯科矯正治療では、歯根吸収を起こす可能性があります。口腔清掃が不十分な場合は、う蝕や歯肉炎が生じる場合があります。
20代 女性

主訴:前歯がガタガタしている 初診時年齢:24歳8ヶ月
診断名:骨格型I級 臼歯関係II級 叢生
上顎両側第一小臼歯を抜歯してマルチブラケット装置による治療をしました。
治療期間:マルチブラケット治療23ヶ月
費用目安:869,000円(検査診断料・処置料・審美ブラケット料金含、消費税込)
副作用・リスク:歯科矯正治療では、歯根吸収を起こす可能性があります。口腔清掃が不十分な場合は、う蝕や歯周炎が生じる場合があります。
10代 男性

主訴:歯並びが悪い 初診時年齢:10歳2ヶ月
診断名:骨格型I級 臼歯関係II級 下顎右側第二小臼歯と下顎左側中切歯欠損を伴う開咬
I期治療として上顎急速拡大装置を装着して上顎歯列の拡大しました。II期治療ではポータータイプの拡大装置で上顎歯列の再拡大をした後に、上顎両側第一小臼歯と下顎右側第二乳臼歯および下顎左側第二小臼歯を抜歯してマルチブラケット装置による治療をしました。
治療期間:急速拡大治療4ヶ月 再拡大治療3ヶ月 マルチブラケット治療36ヶ月
費用目安:957,000円(検査診断料・処置料含、消費税込)
副作用・リスク:歯科矯正治療では、歯根吸収を起こす可能性があります。口腔清掃が不十分な場合は、う蝕や歯肉炎が生じる場合があります。
10代 女性

主訴:歯並びが悪い 初診時年齢:12歳4ヶ月
診断名:骨格型II級 臼歯関係II級 叢生
上下顎歯列をポータータイプの拡大装置で拡大後、上下顎両側第一小臼歯を抜歯してマルチブラケット装置による治療をしました。
治療期間:拡大治療4ヶ月 マルチブラケット治療31ヶ月
費用目安:902,000円(検査診断料・処置料含、消費税込)
副作用・リスク:歯科矯正治療では、歯根吸収を起こす可能性があります。口腔清掃が不十分な場合は、う蝕や歯肉炎が生じる場合があります。
10代 男性

主訴:側切歯が後ろに生えている 初診時年齢:10歳2ヶ月
診断名:骨格型I級 臼歯関係右側I級左側II級 叢生
I期としてユーティリティアーチ(部分ワイヤー)による上顎前歯の歯軸の改善をしました。II期治療では、上顎左側第一小臼歯を抜歯してマルチブラケット装置による治療をしました。
治療期間:I期治療18ヶ月 マルチブラケット治療28ヶ月
費用目安:968,000円(検査診断料・処置料・審美ブラケット料金含、消費税込)
副作用・リスク:歯科矯正治療では、歯根吸収を起こす可能性があります。口腔清掃が不十分な場合は、う蝕や歯肉炎が生じる場合があります。
10代 女性

主訴:見た目とかみ合わせが悪い 初診時年齢:8歳9ヶ月
診断名:骨格型II級 臼歯関係II級 叢生
一期治療としてヘッドギアとユーティリティアーチ(部分ワイヤー)を上顎に装着して臼歯関係の改善をしました。二期治療では、上顎両側第一小臼歯と下顎第二小臼歯を抜歯してマルチブラケット装置による治療をしました。
治療期間:ヘッドギア28ヶ月(部分ワイヤー15ヶ月含)マルチブラケット治療29ヶ月
費用目安:913,000円(検査診断料・処置料含、消費税込)
副作用・リスク:歯科矯正治療では、歯根吸収を起こす可能性があります。口腔清掃が不十分な場合は、う蝕や歯肉炎が生じる場合があります。
10代 男性

主訴:歯並びが悪い 初診時年齢:12歳2ヶ月
診断名:骨格型II級 臼歯関係II級 叢生
ヘッドギアを装着して臼歯関係の改善をした後に、上顎にホールディングアーチを加強固定として装着し、上顎両側第一小臼歯と下顎両側第二小臼歯を抜歯してマルチブラケット装置による治療をしました。
治療期間:ヘッドギア8ヶ月 マルチブラケット治療24ヶ月
費用目安:869,000円(検査診断料・処置料含、消費税込)
副作用・リスク:歯科矯正治療では、歯根吸収を起こす可能性があります。口腔清掃が不十分な場合は、う蝕や歯肉炎が生じる場合があります。
10代 女性

主訴:出歯 初診時年齢:15歳7ヶ月
診断名:骨格型II級 臼歯関係II級 上顎前突
上下顎歯列をポータータイプの拡大装置で拡大後、上下顎両側第一小臼歯を抜歯してマルチブラケット装置による治療をしました。
治療期間:拡大治療4ヶ月 マルチブラケット治療26ヶ月
費用目安:924,000円(検査診断料・処置料・審美ブラケット料金含、消費税込)
副作用・リスク:歯科矯正治療では、歯根吸収を起こす可能性があります。口腔清掃が不十分な場合は、う蝕や歯肉炎が生じる場合があります。
20代 女性

主訴:歯並びとかみ合わせが悪い 初診時年齢:23歳9ヶ月
診断名:骨格型III級 臼歯関係I級 下顎右側偏位を伴う叢生
上下顎両側第一小臼歯を抜歯して、マルチブラケット装置による治療をしました。
治療期間:マルチブラケット治療38ヶ月
費用目安:924,000円(検査診断料・処置料・審美ブラケット料金含、消費税込)
副作用・リスク:歯科矯正治療では、歯根吸収を起こす可能性があります。口腔清掃が不十分な場合は、う蝕や歯周炎が生じる場合があります。
10代 女性

主訴:すき歯 初診時年齢:18歳4ヶ月
診断名:骨格型I級 臼歯関係I級 空隙歯列
非抜歯でマルチブラケット装置による治療をしました。
治療期間:マルチブラケット治療18ヶ月
費用目安:836,000円(検査診断料・処置料・審美ブラケット料金含、消費税込)
副作用・リスク:歯科矯正治療では、歯根吸収を起こす可能性があります。口腔清掃が不十分な場合は、う蝕や歯肉炎が生じる場合があります。空隙歯列では、習癖の残存で後戻りが生じることもあります。
20代 女性

主訴:出歯 初診時年齢:27歳5ヶ月
診断名:骨格型II級 臼歯関係II級 上顎前突
上顎歯列をポータータイプの拡大装置で拡大後に、上顎両側第二小臼歯を抜歯してマルチブラケット装置による治療をしました。
治療期間:拡大治療5ヶ月 マルチブラケット治療32ヶ月
費用目安:946,000円(検査診断料・処置料・審美ブラケット料金含、消費税込)
副作用・リスク:歯科矯正治療では、歯根吸収を起こす可能性があります。口腔清掃が不十分な場合は、う蝕や歯周炎が生じる場合があります。
10代 男性

主訴:歯並びが悪い 初診時年齢:9歳5ヶ月
診断名:骨格型I級 臼歯関係I級 叢生
上顎に舌側弧線装置を装着して上顎左側中切歯の唇側移動後に、上下顎にポータータイプの拡大装置を装着して歯列の拡大をしました。
治療期間:舌側弧線装置3ヶ月 拡大治療7ヶ月
費用目安:341,000円(検査診断料・処置料、消費税込)
副作用・リスク:歯科矯正治療では、歯根吸収を起こす可能性があります。口腔清掃が不十分な場合は、う蝕や歯肉炎が生じる場合があります。
10代 女性

主訴:受け口 初診時年齢:14歳1ヶ月
診断名:骨格型III級 臼歯関係III級 反対咬合
上顎歯列をポータータイプの拡大装置で拡大後に、非抜歯でマルチブラケット装置による治療をしました。
治療期間:拡大治療2ヶ月 マルチブラケット治療17ヶ月
費用目安:847,000円(検査診断料・処置料・審美ブラケット料金含、消費税込)
副作用・リスク:歯科矯正治療では、歯根吸収を起こす可能性があります。口腔清掃が不十分な場合は、う蝕や歯肉炎が生じる場合があります。
10代 男性

主訴:出歯 初診時年齢:14歳9ヶ月
診断名:骨格型II級 臼歯関係II級 上顎前突
上下顎歯列をポータータイプの拡大装置で拡大後に、上顎両側第一小臼歯を抜歯してマルチブラケット装置による治療をしました。
治療期間:拡大治療3ヶ月 マルチブラケット治療23ヶ月
費用目安:836,000円(検査診断料・処置料、消費税込)
副作用・リスク:歯科矯正治療では、歯根吸収を起こす可能性があります。口腔清掃が不十分な場合は、う蝕や歯肉炎が生じる場合があります。
10代 男性

主訴:出歯 初診時年齢:11歳1ヶ月
診断名:骨格型II級 臼歯関係II級 上顎前突
ヘッドギアを装着して上顎歯列の遠心移動後に上下顎歯列をポータータイプの拡大装置で拡大しました。上顎両側第一小臼歯と下顎両側第二小臼歯を抜歯してマルチブラケット装置による治療をしました。
治療期間:ヘッドギア7ヶ月 拡大治療6ヶ月 マルチブラケット治療43ヶ月
費用目安:957,000円(検査診断料・処置料、消費税込)
副作用・リスク:歯科矯正治療では、歯根吸収を起こす可能性があります。口腔清掃が不十分な場合は、う蝕や歯肉炎が生じる場合があります。
10代 女性

主訴:歯並びが悪い 初診時年齢:15歳6ヶ月
診断名:骨格型I級 臼歯関係I級 叢生
上下顎歯列をポータータイプの拡大装置で拡大後に、下顎にマルチブラケット装置を装着して非抜歯で治療をしました。
治療期間:拡大治療8ヶ月 マルチブラケット治療9ヶ月
費用目安:517,000円(検査診断料・処置料、消費税込)
副作用・リスク:歯科矯正治療では、歯根吸収を起こす可能性があります。口腔清掃が不十分な場合は、う蝕や歯肉炎が生じる場合があります。
20代 男性

主訴:歯並びが悪い 初診時年齢:23歳4ヶ月
診断名:骨格型III級 臼歯関係III級 切端咬合
上顎歯列をポータータイプの拡大装置で拡大後に、上下顎両側第一小臼歯を抜歯してマルチブラケット装置で治療をしました。
治療期間:拡大治療3ヶ月 マルチブラケット治療24ヶ月
費用目安:913,000円(検査診断料・処置料・審美ブラケット料金、消費税込)
副作用・リスク:歯科矯正治療では、歯根吸収を起こす可能性があります。口腔清掃が不十分な場合は、う蝕や歯周炎が生じる場合があります。
20代 女性

主訴:出歯とすき歯 初診時年齢:21歳3ヶ月
診断名:骨格型II級 臼歯関係I級 上下顎前突
上下顎歯列をポータータイプの拡大装置で拡大後に、上下顎両側第一小臼歯を抜歯して、マルチブラケット装置による治療をしました。
治療期間:拡大治療3ヶ月 マルチブラケット治療26ヶ月
費用目安:935,000円(検査診断料・処置料・審美ブラケット料金含、消費税込)
副作用・リスク:歯科矯正治療では、歯根吸収を起こす可能性もあります。口腔清掃不十分な場合は、う蝕や歯周炎が生じる場合があります。
10代 女性

主訴:歯並びが悪い 初診時年齢:12歳3ヶ月
診断名:骨格型I級 臼歯関係I級 上顎左側犬歯の埋伏を伴う叢生
上顎にホールディングアーチを装着し、上顎右側第一小臼歯と左側犬歯および下顎両側第一小臼歯を抜歯してマルチブラケット装置による治療をしました。
治療期間:マルチブラケット治療25ヶ月
費用目安:902,000円(検査診断料・処置料・審美ブラケット料金含、消費税込)
副作用・リスク:歯科矯正治療では、歯根吸収を起こす可能性があります。口腔清掃が不十分な場合は、う蝕や歯肉炎が生じる場合があります。
10代 女性

主訴:歯並びが悪い 初診時年齢:16歳0ヶ月
診断名:骨格型II級 臼歯関係II級 上顎前突
上顎両側第一小臼歯を抜歯してマルチブラケット装置による治療をしました。治療途中より加強固定のためにヘッドギアを装着しました。
治療期間:マルチブラケット治療22ヶ月
費用目安:836,000円(検査診断料・処置料・審美ブラケット料金含、消費税込)
副作用・リスク:歯科矯正治療では、歯根吸収を起こす可能性があります。口腔清掃が不十分な場合は、う蝕や歯肉炎が生じる場合があります。
10代 男性

主訴:かみ合わせが悪い 初診時年齢:10歳2ヶ月
診断名:骨格型I級 臼歯関係I級 左側唇顎列右側唇裂の反対咬合
一期治療として上顎に舌側弧線装置を装着して上顎前歯を唇側移動しました。Ⅱ期治療では上下顎歯列をポータータイプの拡大装置で拡大後に、非抜歯でマルチブラケット装置による治療をしました。
治療期間:舌側弧線装置5ヶ月 拡大治療3ヶ月 マルチブラケット治療24ヶ月
費用目安:保険診療
副作用・リスク:歯科矯正治療では、歯根吸収を起こす可能性があります。口腔清掃が不十分な場合は、う蝕や歯肉炎が生じる場合があります。
10代 女性

主訴:歯並びとかみ合わせがが悪い 初診時年齢:15歳7ヶ月
診断名:骨格型I級 臼歯関係左側I級、右側II級 上顎右側第二小臼歯欠損を伴う叢生
上顎歯列をポータータイプの拡大装置で拡大後に、非抜歯でマルチブラケット装置による治療をしました。
治療期間:マルチブラケット治療15ヶ月
費用目安:836,000円(検査診断料・処置料・審美ブラケット料金含、消費税込)
副作用・リスク:歯科矯正治療では、歯根吸収を起こす可能性があります。口腔清掃が不十分な場合は、う蝕や歯肉炎が生じる場合があります。
矯正歯科治療に伴う一般的なリスクや副作用について
- 矯正歯科装置装着後に違和感、不快感、痛みなどが生じることがあります。一般的には数日間~1、2週間で慣れてきます。
- 歯の動き方には個人差があります。そのため予想された治療期間が延長する可能性があります。
- 矯正歯科装置の使用状況、顎間ゴムの使用状況、定期的な通院など、矯正歯科治療には患者さんの協力が必要であり、それらが治療結果や治療期間に影響します。
- 治療中は矯正歯科装置が歯の表面に付いているため食物が溜りやすく、また歯が磨きにくくなるため、むし歯や歯周病が生じるリスクが高まります。したがってハミガキを適切に行い、お口の中を常に清潔に保ち、さらにかかりつけ歯科医を定期的に受診することが大切です。また、歯が動くと隠れていたむし歯が見えるようになることもあります。
- 歯を動かすことにより歯根が吸収して短くなることや歯肉が痩せて下がることがあります。
- ごくまれに歯が骨と癒着していて歯が動かないことがあります。
- ごくまれに歯を動かすことで神経が障害を受けて壊死することがあります。
- 矯正歯科装置などにより金属等のアレルギー症状が出ることがあります。
- 治療中に顎関節の痛み、音が鳴る、口が開けにくいなどの顎関節症状が生じることがあります。
- 治療の経過によっては当初予定していた治療計画を変更する可能性があります。
- 歯の形の修正やかみ合わせの微調整を行ったりする可能性があります。
- 矯正歯科装置を誤飲する可能性があります。
- 矯正歯科装置を外す際にエナメル質に微小な亀裂が入る可能性や、かぶせ物(補綴物)の一部が破損する可能性があります。
- 動的治療が終了し装置が外れた後に、現在のかみ合わせに合った状態のかぶせ物(補綴物)やむし歯の治療(修復物)などをやり直す必要性が生じる可能性があります。
- 動的治療が終了し装置が外れた後に保定装置を指示通り使用しないと、歯並びやかみ合わせの「後戻り」が生じる可能性があります。
- あごの成長発育によりかみ合わせや歯並びが変化する可能性があります。
- 治療後に親知らずの影響で歯並びやかみ合わせに変化が生じる可能性があります。また、加齢や歯周病などにより歯並びやかみ合わせが変化することがあります。
- 矯正歯科治療は一度始めると元の状態に戻すことは難しくなります。



